Лікарі провели операцію на мозку ще ненародженої дитини

Лікарі провели операцію на мозку ще ненародженої дитини
Немовля тримає мамин палець. Фото: freepik.com

Американські лікарі успішно провели першу внутрішньоутробну операцію на мозку плода. Ще ненароджена дитина мала хворобу під назвою мальформація вени Галена, що є судинною аномалією.

Про це повідомляє ScienceAlert.

Реклама
Читайте також:

Рідкісне захворювання плоду

Хірурги з дитячої лікарні Бостона та жіночої лікарні Бригама в США провели надскладну операцію в утробі матері. У дитини виявили велику кровоносну судину в мозку. Раніше медики, стикаючись з такою проблемою, зазвичай оперували дитину вже після народження, однак цей випадок був особливим.

Судинна аномалія, яка називається мальформацією вени Галена, дозволяє крові текти небезпечно швидко через частину мозку після народження дитини. Таким чином артерії з’єднуються безпосередньо з венами, а не з капілярами, які інакше контролювали б потік крові.

Захворювання створює значне навантаження на серцево-судинну систему, що може призвести до серцевої недостатності, а також може спричинити значні пошкодження мозку, що призведе до неврологічних і когнітивних порушень. 

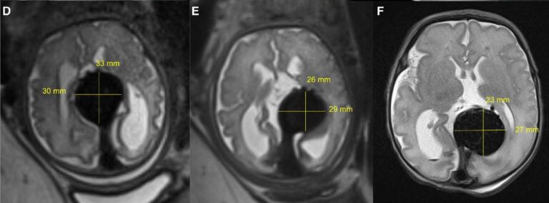
Сканування головного мозку немовляти, яке показує розмір аномалії, коли вона зменшується, зліва: до емболізації, одразу після та одразу після народження немовляти. Фото: Орбах та ін., Інсульт, 2023

Лікарі прооперували немовля в утробі матері

Лікарі боялися, що можуть не встигнути провести операцію. Тому вони пішли на ризик і за допомогою ультразвуку провели операцію немовляті до пологів. Все пройшло успішно.

Наразі дитині вже 6 тижнів. Пологи через розрив плодових оболонок в матці довелося викликати передчасно, проте це не зашкодило мамі та малюкові. 

"Ми раді повідомити, що в шість тижнів немовля відчуває себе чудово, не приймає ніяких ліків, нормально харчується, набирає вагу і повернувся додому. Немає жодних ознак будь-якого негативного впливу на мозок", — зазначили хірурги. 

Оскільки це перший пацієнт у такому клінічному випробуванні, методика далеко не готова для широкого застосування. Один успішний випадок ще не означає, що всі наступні операції закінчуватимуться добре. Лікарям ще варто провести кілька досліджень та спостережень, щоб продовжити роботу далі.

Нагадаємо, що у Львові лікарі виконали пересадку серця, легень, печінки, нирки та підшлункової залози. Трансплантація підшлункової вважається одним з найскладніших у світі хірургічних втручань.

США операція мозок дитина лікарі
Реклама
Реклама
Реклама
Реклама